概念
肝細胞内で肝炎ウイルスが増殖することによって起こる肝の急性炎症性疾患
診断
急性ウイルス性肝炎の鑑別診断
|
IgM HA抗体 |
HBs抗原 |
HBc抗体 |
HCV RNA |
|
|
A型肝炎 |
+ |
- |
- |
- |
|
B型肝炎 |
- |
+ |
+(低力価) |
- |
|
C型肝炎 |
- |
- |
- |
+ |
急性ウイルス性肝炎の頻度

鑑別診断
アルコール性肝障害
総胆管結石
薬剤性肝障害
脂肪肝
hepatitis occurring as part of systemic infection
U. 劇症肝炎について
定義
症状発現後8週以内に高度の肝機能障害に基づいて肝性昏睡U度以上の脳症をきたし,プロトロンビン時間40%以下を示すもの で,発病後10日以内に脳症が発現する急性型とそれ以後に発現する亜急性型とに分類されます(第12回犬山シンポジウム). プロトロンビン時間40%以下を示すものの肝性昏睡T度以下の症例は急性肝炎重症型,症状発現後8-24週に脳症が出現する症例は遅発性肝不全(late onset hepatic failure)と診断され,ともに劇症肝炎の類縁疾患として扱われます. なお,リンパ球浸潤など肝炎像のない薬物中毒,妊娠性脂肪肝,虚血性肝障害,Reye症候群などは,急性肝不全として扱われます.
|
肝性昏睡 |
肝性脳症が出現するまでの期間 |
|
|
劇症肝炎急性型 |
U度以上 |
0日以内 |
|
劇症肝炎亜急性型 |
U度以上 |
11日-8週 |
|
急性肝炎重症型 |
T度以上 |
8週以内 |
|
遅発性肝不全 |
U度以上 |
8週-24週 |
成因
年間発生数は約1000例と推定され,急性型と亜急性型はほぼ同数と考えられます.
表.劇症肝炎の成因
T.ウイルス性 A型,B型,C型,E型,その他 U.自己免疫性 ステロイドで改善またはAIH基準を満たす V.薬剤性 臨床経過またはD-LST W.成因不明 十分な検査が実施されているが,T-Vに属さない X.分類不能 十分な検査が実施されていない

図.2000年の劇症肝炎,遅発性肝不全(LOHF)の全国集計
診断
成因の診断
ウイルス性:ウイルスマーカー
自己免疫性:抗核抗体
IgG
薬剤性:既往歴
D-LST
予後予測式
与芝の式
λ>0で劇症化する可能性が大きいと考えられます.
λ = -0.89 + 1.74×成因 + 0.056×T.Bil - 0.04×ChE
成因:1=A型,B型肝炎ウイルス
2=HBVキャリア発症,自己免疫性,薬剤性
武藤の式
λ>0で劇症化する可能性が大きいと考えられます.
λ = -0.0649×PT(%) + 0.0357×年齢 - 2.81×(D.Bil/T.Bil) + 0.703×In(T.Bil) + 1.04×OCD
OCD:発症からPT≦40%になる期間が10日以内=0,11日以上=1
難治性の肝疾患調査研究班予測式
λ>0で劇症化する可能性が大きいと考えられます.
λ = -2.7469 + 0.0914×年齢 + 0.1255×T.Bil - 0.1534×PT(%)
橋の式(Hepatology 32:734-739,2000)
RS>0で死亡する可能性が大きいと考えられます.
1) B型劇症肝炎
RS = 2.75×BL + 2.75×BR + 2.7×AG + 2.3×WB + 1.67×CD + 1.56×AL - 0.098×PT(%) - 0.88
BL:T.Bil≧20mg/dl の場合1,BR:T.Bil/D.Bil≧2.2 の場合1,AG:40歳以上の場合1,WB:≦4000 または≧18000 の場合1,CD:基礎疾患が存在する場合1,AL:ALT正常値上限の100倍以下の場合1
2) 非A非B型劇症肝炎
RS = 2.25×BL + 2.66×BR + 1.38×AG + 0.00021×WBC + 1.56×AL + 2.24×DI - 6.33
BL:T.Bil≧15mg/dl の場合1,BR:T.Bil/D.Bil≧1.5 の場合1,AG:50歳以上の場合1,AL:ALT正常値上限の40倍以上の場合1,DI:脳症発現まで≦4日または≧12日の場合1
プロトロンビン時間80%以下の劇症化予知式 (岩手医大)
λ = -1.156 + 0.692×In(T.Bil + 1) - 0.065×PT(%) + 1.388×年齢 + 0.868×成因
年齢:0=50歳以下,1=51歳以上
成因:0=その他の成因
1=HBV carrierまたは成因不明
p=100/(1+e-λ)
p>50%を特殊治療開始基準,p>20%を専門施設搬送基準
劇症肝炎の肝移植適応ガイドライン・スコアリングシステム(厚生労働省)
表 劇症肝炎の肝移植適応ガイドライン・スコアリングシステム
|
スコア |
0 |
1 |
2 |
|
発症 - 昏睡(日) |
0-5 |
6-10 |
11≦ |
|
PT(%) |
20< |
5< ≦20 |
≦5 |
|
T.Bil(mg/dl) |
<10 |
10≦ |
15≦ |
|
D.Bil/T.Bil |
0.7≦ |
0.5≦ <0.7 |
<0.5 |
|
血小板(万) |
10< |
5< ≦10 |
≦5 |
|
肝萎縮 |
なし |
あり |
|
スコア合計点と予測死亡率:0 点:ほぼ0%,1 点:約10%,2-3
点:20%-30%,4 点:約50%,
5 点:約70%,6 点以上:90%以上
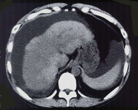
画像診断
肝萎縮,肝表面の不整,腹水,腹部超音波検査での地図状高エコー域(map sign),腹部CT検査での壊死部のCT値の低下などが認められます.
|
|
|
|
腹部超音波検査 |
腹部CT検査 |
図.劇症肝炎の画像診断
治療
抗ウイルス療法
B型肝炎ウイルス
ラミブジン:100mg/日
インターフェロン
肝庇護療法
副腎皮質ステロイドパルス投与:methyl prednisolone 1000mg/日×3日
prostaglandin:200-500μg/24時間
glucagon-insulin 療法:10%ブドウ糖液(500ml)+ glucagon 1mg +insulin 10U
人工肝補助
血漿交換
血液濾過透析
合併症に対する対策
肝性脳症 :lactulose 60-90 ml/日
flumazenil
脳浮腫:mannitol 300ml×2/日
抗凝固療法:gebexate mesilate:20-40mg/kg/24時間
Antithrombin V:30単位/kg/日
腎不全:血液透析
消化管出血:H2-Blocker
感染:抗生剤,抗真菌剤
肝移植
2004年1月1日より成人の劇症肝炎および非代償性肝硬変に対しての生体部分肝移植が保険適応に追加されました.
適応基準(肝臓 42:543,2001)
T.脳症発現時に次の5項目のうち2項目を満たす場合は死亡と予測して肝移植の登録を行う .
1. 年齢:45歳以上
2. 初発症状から脳症発現までの日数:11日以上(亜急性型)
3. プロトロンビン時間:10%以下
4. 血清総ビリルビン濃度:18mg/dl以上
5. 直接/総ビリルビン比:0.67以下U.治療開始(脳症発現)から5日後における予後の再評価
1. 脳症がT度以内に覚醒,あるいは昏睡度でU度以上の改善
2. プロトロンビン時間が50%以上に改善認められる項目数が2項目の場合生存と予測し肝移植登録を取り消す.
0または1項目の場合死亡と予測して肝移植登録を継続する.
生体部分肝移植の保険適応疾患
1 先天性胆道閉鎖症
2 進行性肝内胆汁うっ滞症 3 Alagille症候群 4 Budd-Chiari症候群 5 先天性代謝性肝疾患 6 多発嚢胞肝 7 Carolii病 8 肝硬変および劇症肝炎
予後
(厚生労働省特定疾患治療対策研究事業「難治性の肝・胆道疾患に対する研究班」平成17年度報告書)
肝移植非実施例の救命率
急性型 56.3 %(18/32)
亜急性型 26.1 %(6/23)
LOHF 50.0 % (1/ 2)
肝移植実施例の救命率
急性型 100 %(3/ 3)
亜急性型 90 %(9/10)
LOHF 100 %(1/ 1)
劇症肝炎の病理